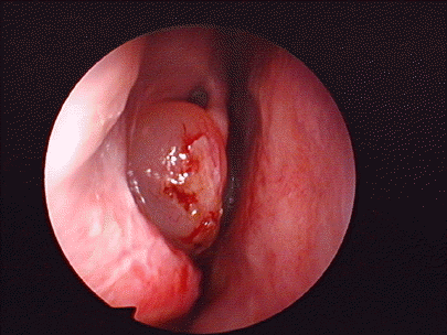
鼻息肉是耳鼻喉科常见疾病,发生于鼻腔内的赘生物。中医称鼻痔。鼻息肉多因平素嗜食辛辣炙煿厚味,蕴生湿热;上蒸于肺,结滞鼻窍;或风热邪毒侵袭肺经,肺气不得宣畅,积聚鼻窍所引起。下面介绍一下如何预防鼻息肉的发生。

鼻息肉的预防
1、积极防治伤风感冒,根据季节变化及时增减衣物。
2、戒烟酒,防御有毒气体及污染,粉尘对鼻、咽部长期刺激。
3、避免长期应用血管收缩剂,如鼻眼净等,以免引起药物性鼻炎。
4、加强体育锻炼,提高身体抵抗力,提倡冷水洗脸,冷水浴,日光浴。
5、及时治疗鼻、咽部及周围器官疾病,以免感染蔓延和反复发作。
6、不养成抠鼻子不良习惯,鼻塞严重是不可强行擤鼻涕,以免导致鼻窦炎、中耳炎等。
鼻息肉饮食三疗法
1、 1、辛夷花煲鸡蛋 辛夷花l0.12克,鸡蛋2只,加清水适量同煮,蛋熟后去壳再煮片时,饮汤吃蛋。 2、鱼腥草煲猪肺 鲜鱼腥草60克,猪肺约200克,加清水适量煲汤,用食盐少许调味,饮汤食猪肺。 3、米醋煮海带 海带(干)60克,加米醋适量煮吃。注意:胃溃疡、十二指肠溃疡、胃酸过多者忌用。